抗生素破坏肠道菌群,或加重肝衰竭中国科学报
近日,西安交通大学第一附属医院感染科教授何英利团队在《医学微生物学杂志》发表研究成果,明确抗生素暴露会通过破坏肠道菌群平衡、诱发继发性肝损伤,进而加重慢加急性肝衰竭(ACLF)患者病情并降低其生存率。该研究为临床合理使用抗生素、改善ACLF患者预后提供了重要的理论依据和实践指导。
慢加急性肝衰竭是临床危重症,以慢性肝病基础上急性肝功能急剧恶化、28天死亡率高达50%-90%为特征,细菌感染是其重要诱因和并发症,临床中抗生素的使用较普遍,但抗生素对慢加急性肝衰竭患者预后的影响及潜在机制一直存在争议。针对这一临床难题,何英利团队开展了一项结合临床回顾性匹配研究和动物模型实验的系统性研究。
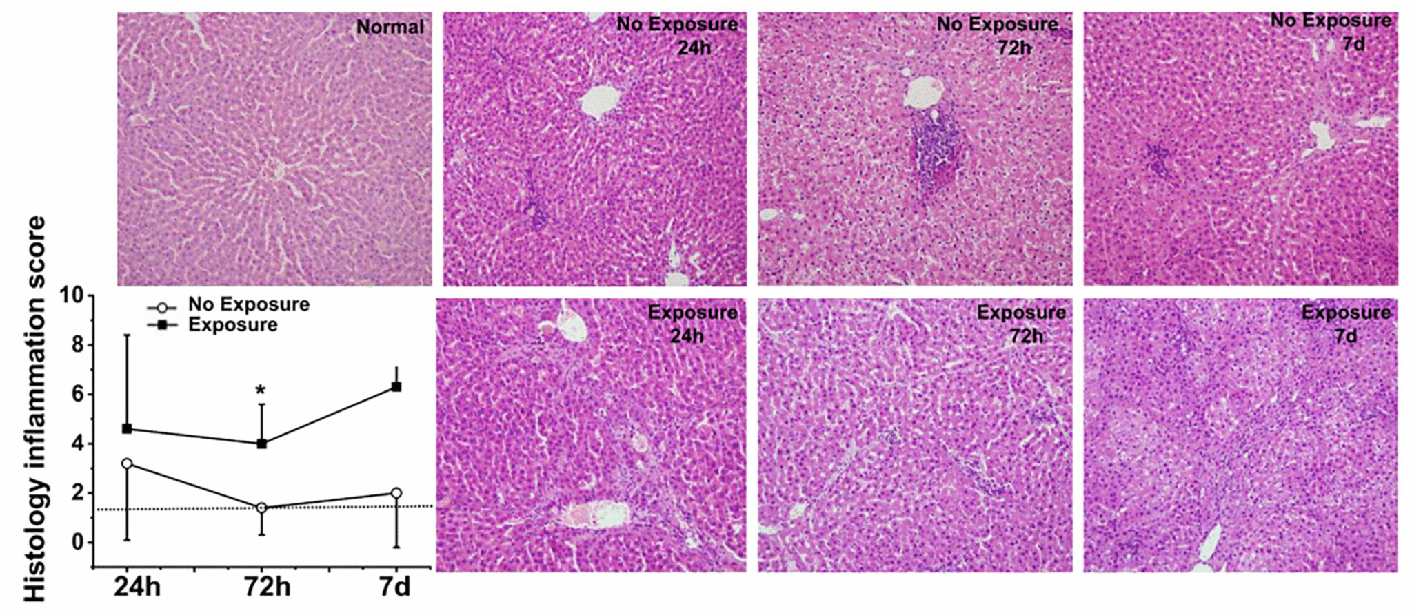
ACLF动物模型抗生素暴露加重肝脏组织学改变。西安交通大学第一附属医院供图
团队从西安交通大学第一附属医院2017-2019年收治的ACLF患者中,筛选出23例接受抗生素治疗的患者作为暴露组,并按照1:2的比例匹配46例年龄、性别、终末期肝病模型(MELD)评分一致的未使用抗生素患者作为对照组。随访结果显示,抗生素暴露组患者28天早期死亡率显著高于对照组,12周、24周生存率也明显降低,暴露组总死亡率(47.8%)亦高于对照组(28.3%),证实抗生素暴露对ACLF患者生存无获益甚至存在不利影响。
为探究其背后机制,研究团队构建了ACLF大鼠模型,给予广谱抗生素联合治疗后发现,抗生素暴露组大鼠肝脏出现明显淤血、水肿,丙氨酸转氨酶(ALT)水平显著升高,肝组织炎症浸润加重、组织学炎症评分明显上升,提示抗生素暴露会显著诱发并加重 ACLF 大鼠的肝脏炎症反应 。 进一步分析表明,抗生素暴露引发的肠道菌群失衡,破坏了肠道屏障完整性,导致致病菌及其代谢产物易位,通过肠道-肝脏轴诱发并加重肝脏炎症,最终加剧ACLF病情、降低患者生存率。这也是首次从肠道菌群角度阐释了抗生素暴露对ACLF患者的不利影响机制。
该研究明确了肠道菌群失衡是抗生素暴露加重ACLF的关键环节,为后续通过调节肠道菌群、靶向干预肠道-肝脏轴来改善ACLF患者预后提供了新的研究方向和治疗靶点。“慢加急性肝衰竭患者临床治疗中,抗生素的使用需严格把握指征,避免无指征的经验性抗生素预防和使用。”何英利表示。


