为何阿尔茨海默病人 很少得癌症?科学家惊人发现
地球是一个奇迹
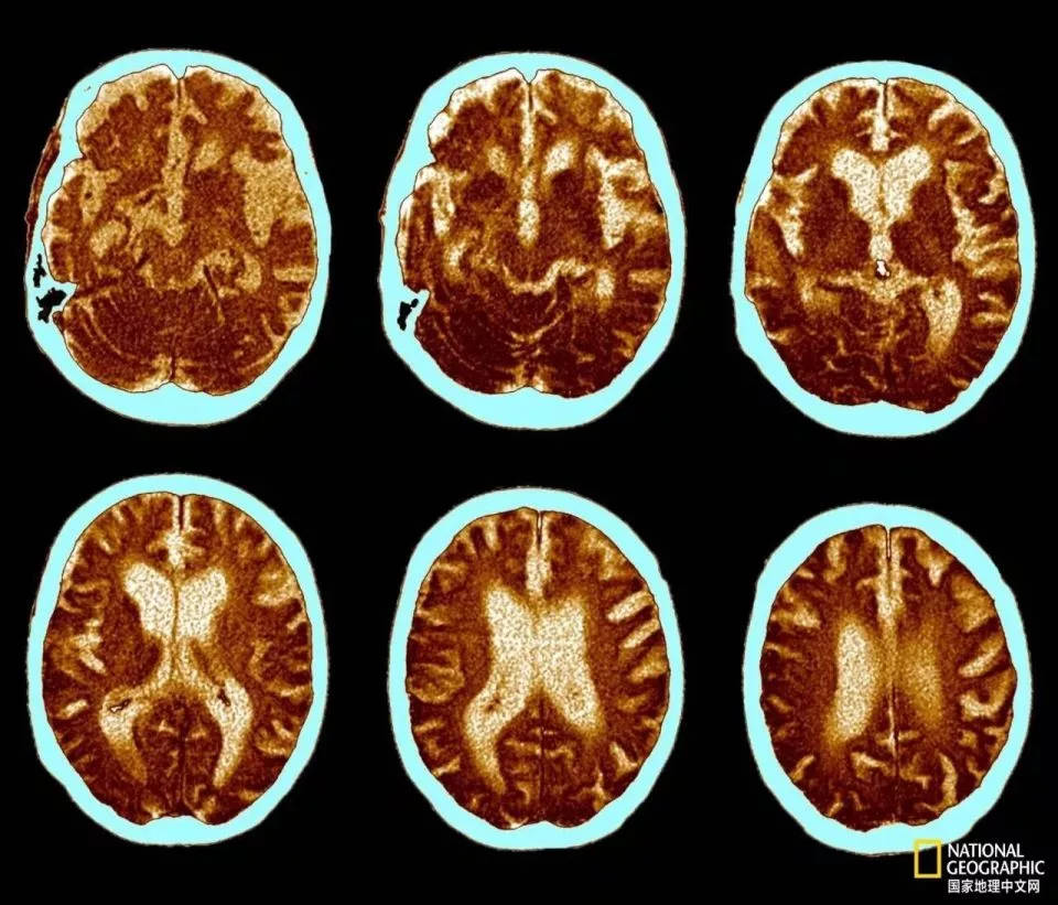
这是一位74岁阿尔茨海默病患者的脑部扫描图,清晰地揭示了该病如何导致大脑萎缩。图中可见脑室腔扩大,以及淡蓝色区域增宽,这些都是脑萎缩的典型表现。这种大脑萎缩会引发记忆力减退、意识模糊以及性格改变等症状。|国家地理图片集
近年来,科学家们开始思考一个全新的问题:如果阿尔茨海默病并不仅仅是一种大脑疾病呢?
长久以来,它似乎确实如此。作为全球范围内影响数百万人的最常见痴呆症形式,阿尔茨海默病的典型特征是大脑中蛋白质的异常堆积。
这种病理性堆积会逐步导致神经元死亡,进而引发记忆力衰退、情绪紊乱以及行为改变等一系列症状。
然而数十年来,研究人员和临床医生都注意到一个奇特的现象:癌症患者患上阿尔茨海默病的风险似乎要低得多,而阿尔茨海默病患者也往往并非癌症幸存者。
多项流行病学研究均证实了这一现象,但其背后的确切原因却一直悬而未决。
在近期发表于《细胞》(Cell)期刊的一项研究中,研究人员发现了癌症与阿尔茨海默病之间共享的一条生物学通路,从而找到了一种可能的作用机制。
“癌症与阿尔茨海默病处于多个核心生物学过程的两个极端,”纽约大学格罗斯曼医学院(NYU Grossman School of Medicine)精准医学与最佳衰老研究所的长寿研究员乔丹·韦斯(Jordan Weiss)解释道,他并未参与此项研究。“某种物质过多会让你倾向于患上其中一种疾病,而过少则会让你倾向于患上另一种。”
这些共享的生物学过程,与免疫系统以及身体清除蛋白质、防止其异常堆积的方式密切相关。
这项新研究提供了更多证据,表明免疫系统在阿尔茨海默病的发展进程中所起的作用,可能远比我们最初认为的更为关键。
“现在我们将阿尔茨海默病……视为衰老大脑中免疫稳态失衡的一种疾病,”韦斯说。
免疫系统过于活跃,会引发阿尔茨海默病患者出现神经元死亡和损伤;而免疫系统活性不足,则会让癌细胞得以存活并增殖。
同样,过度清除蛋白质会破坏对维持身体健康至关重要的有益蛋白,而清除力度不足则会导致大脑中蛋白质堆积形成斑块,进而造成神经元损伤。
这张对比图展示了阿尔茨海默病患者的大脑(左)与健康大脑(右)的差异。|国家地理图片集
长期以来,人们一直认为β-淀粉样蛋白斑块是通过损伤大脑中的神经元而引发阿尔茨海默病的。然而,最新研究表明,免疫系统对这些斑块产生的反应,或许才是真正的“元凶”。|国家地理图片集
癌症与阿尔茨海默病风险降低的关联
癌症与阿尔茨海默病发病风险降低之间的关联,早已被科学界观察到。
2012年发表的一项研究发现,癌症幸存者患阿尔茨海默病的风险显著降低,而阿尔茨海默病患者被诊断出癌症的风险也更低。
2024年发表的另一项大型研究,对超过300万人进行了调查,发现癌症幸存者患痴呆症的风险降低了25%。
2025年发表的第三项研究则发现,阿尔茨海默病的风险因子载脂蛋白E病(APOE disease)也与癌症风险降低有关。
关于这一现象的早期理论之一是,癌症治疗过程在某种程度上有助于预防阿尔茨海默病的发生。多项研究支持这一理论,这些研究表明阿尔茨海默病的进展与免疫系统活性的变化息息相关。
“你给患者进行化疗以杀死癌细胞,但患者的免疫系统活性也会在相当长一段时间内降低,”休斯顿德克萨斯大学健康科学中心的神经学家保罗·舒尔茨(Paul Schulz)说,这被认为可能会减缓阿尔茨海默病的进展。
然而,这项新研究为另一种理论提供了有力支持,该理论认为这种关联可能更多地与癌症和阿尔茨海默病之间的生物学重叠,以及它们与免疫系统的相互作用有关。
阿尔茨海默病与免疫系统
多年来,阿尔茨海默病研究人员主要聚焦于特征性的β-淀粉样蛋白斑块,坚信它们是该疾病的主要诱因。
但越来越多的研究表明,这些斑块本身未必有害,真正损伤神经元的,是免疫系统对这些斑块产生的过度反应。
“有些人50多岁就患上阿尔茨海默病,有些人90多岁才患病,还有些人去世时大脑中的β-淀粉样蛋白斑块比前两者都多,却从未患上这种病,”舒尔茨说。
“我们的假设是,大脑中的β-淀粉样蛋白和tau蛋白并不会直接造成神经元损伤,只有当免疫系统对它们产生反应时,才会引发损伤。”因此,研究人员和临床医生开始将阿尔茨海默病视为一种“大脑免疫失调疾病”,韦斯表示。
与之相反,癌症也与免疫系统的变化密切相关,因为免疫系统的核心职责之一,就是扫描体内分裂过快的异常细胞,并及时清除这些潜在的有害细胞。如果免疫系统活性降低,就会失去识别和清除癌细胞的能力,进而导致肿瘤生长。
“免疫系统中的许多紊乱对癌症和阿尔茨海默病都至关重要,因此它们在这方面存在相互作用是合理的,”舒尔茨说。
但这种相互作用具体是什么呢?
西北医学(Northwestern Medicine)的神经学家伊恩·格兰特(Ian Grant)表示,这项发表在《细胞》上的新研究“提出了另一种可能的机制”。
与癌症相关的分子可降解大脑中的斑块
在这项近期开展的小鼠实验中,研究人员将人类癌细胞移植到阿尔茨海默病小鼠模型中。
结果发现,移植了癌细胞的小鼠并未患上阿尔茨海默病。癌细胞似乎产生了某种保护作用。
“于是我们问,‘为什么?’”该研究的首席研究员、中国武汉华中科技大学的神经学家鲁友明(Youming Lu)在接受《自然》杂志采访时说。
在后续实验中,鲁友明及其合作者发现,肿瘤的发展与一种名为胱抑素C的分子水平升高有关,该分子在调节免疫系统以及确保清除堆积的蛋白质方面发挥着关键作用。
研究还表明,胱抑素C能激活大脑中一种名为TREM2的分子,该分子有助于溶解β-淀粉样蛋白斑块。
这些结果或许可以解释癌症与阿尔茨海默病风险降低之间的关联,但该发现仍需进一步研究验证。
这包括研究这些通路在人类身上是否相似,以及确定该通路与其他过程的重叠方式,同时这些结果也需要被独立重复验证。
“这是一项重大发现,”舒尔茨说,并补充道“这篇论文中的研究内容是有先例可循的。”发现一种新的潜在机制,有助于进一步深入了解阿尔茨海默病,同时也为未来的治疗靶点提供了全新方向。
爱荷华大学卡佛医学院的神经学家库马尔·纳拉亚南(Kumar Narayanan)表示,这样的研究结果“迫使我重新思考可能在这种疾病中发挥作用的大胆新想法”。
不过,专家们也提醒,尽管这些结果很有趣,但距离将其转化为阿尔茨海默病的新疗法还有很长的路要走。
“这并不意味着癌症具有保护作用,当然也不意味着任何人都应该将癌症视为预防阿尔茨海默病的有益因素,”韦斯说。
撰文:Rachel Fairbank
编译:Arvin
校对:Arvin
版式设计:Arvin


